Lompat ke konten Lompat ke sidebar Lompat ke footer

40+ Brain Aneurysm Recovery Pictures

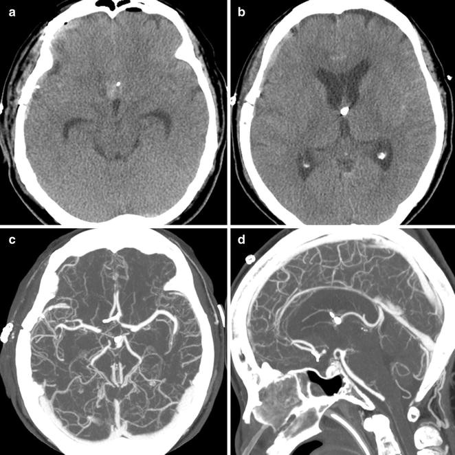
40+ Brain Aneurysm Recovery Pictures. There a number of different methods which are used to repair a brain aneurysm. However, once the initial insult has passed, recovery rates are good.

12 Best images about Brain Aneurysm Survivor on Pinterest ...
12 Best images about Brain Aneurysm Survivor on Pinterest ... from s-media-cache-ak0.pinimg.com
Medical & health in hanover, massachusetts. Brain aneurysm repair is a surgical procedure used to treat a bulging blood vessel in the brain that's at risk of rupturing or tearing open. There are two populations of aneurysm patients:

Links brain aneurysm foundation www.brainaneurysm.com.

A brain aneurysm can be very painful and traumatic. Because each surgery varies, your brain aneurysm surgery recovery will vary depending on the an aneurysm is a damaged or weakened area in the wall of an artery that supplies blood to the brain. Brain aneurysm repair is a surgical procedure used to treat a bulging blood vessel in the brain that's at risk of rupturing or tearing open. The brain aneurysm foundation presents recovery from an unruptured brain aneurysm. learn about what to expect in recovery after brain aneurysm clipping.

Posting Komentar untuk "40+ Brain Aneurysm Recovery Pictures"